• Tullamarine Animal Hospital
  • (03) 9115 4647
  • 155 Derby Street, Pascoe Vale
  • Mon – Fri (8:30am – 7pm) | Sat (9am – 1pm)
  • info@tullamarineanimalhospital.com.au
Tullamarine Animal Hospital
  • Home
  • Meet Our Team
  • Our Services
    • Pet Health Checks
    • Vaccinations
    • Parasite Control
    • Desexing
    • Dentistry
    • Microchipping
    • Blood Testing & Laboratory
    • Medical Imaging
    • New Puppy & Kitten Health Checks
    • Soft Tissue Surgery
  • Moving Your Pet Overseas
  • (03) 9115 4647
  • Book Online
Select Page

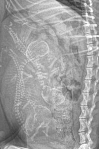
Tullamarine Animal Hospital – Medical Imaging for Pets

21 Jul, 2022

Recent Posts

  • Parasite Control
  • Desexing
  • Blood Testing & Laboratory
  • Medical Imaging
  • Microchipping

Your Local Vets

155 Derby Street, Pascoe Vale,
VIC, 3044
  • Follow
  • Follow

Opening Hours

Mon – Fri: 8:30am – 7:00pm
Sat: 9:00am – 1:00pm
Sun: CLOSED

Appointments

Phone: (03) 9115 4647
Book Online Now

Surgeries at the Tullamarine Animal Hospital require your pet to spend the day with us and cannot be booked online. Please contact the clinic directly on 9115 4647 if you wish to book your pet in for any surgical procedure.  

Online Presence by Petpack – The Veterinary Marketing Experts